当院のインプラントは口腔外科を専門としているドクターが担当いたします。
当院では毎日のようにインプラント治療を行なっており、治療経験も豊富で他院で断られてしまったケースも対応できる場合があります。


インプラントの講演は参加者2000名超えのインプラントの勉強会で特別講師を務めたり、歯科医師の3人に1人が登録している最大級のプラットフォームサイトからオファーを頂き講演したり、海外の講演にも足を運んだりしています。
また出している書籍も歯科書籍ランキングで各社一位を記録し、日本の歯科医師の100人に1人が購入したという実績があります。
当院のインプラントは口腔外科を専門としているドクターが担当いたします。
当院では毎日のようにインプラント治療を行なっており、治療経験も豊富で他院で断られてしまったケースも対応できる場合があります。
インプラントは外科手術を伴う治療となるため経験や技量に大きく左右されます。
その為、専門としているドクターがいない医院の場合にはインプラントを骨が少ないなどの要因でインプラントができないと断れるケースも多くあります。
当院のドクターは日々治療技術を磨いており、骨が少ない場合でも治療が可能ですのでご不安な方はご相談だけでも一度当院へお越しくださいませ。
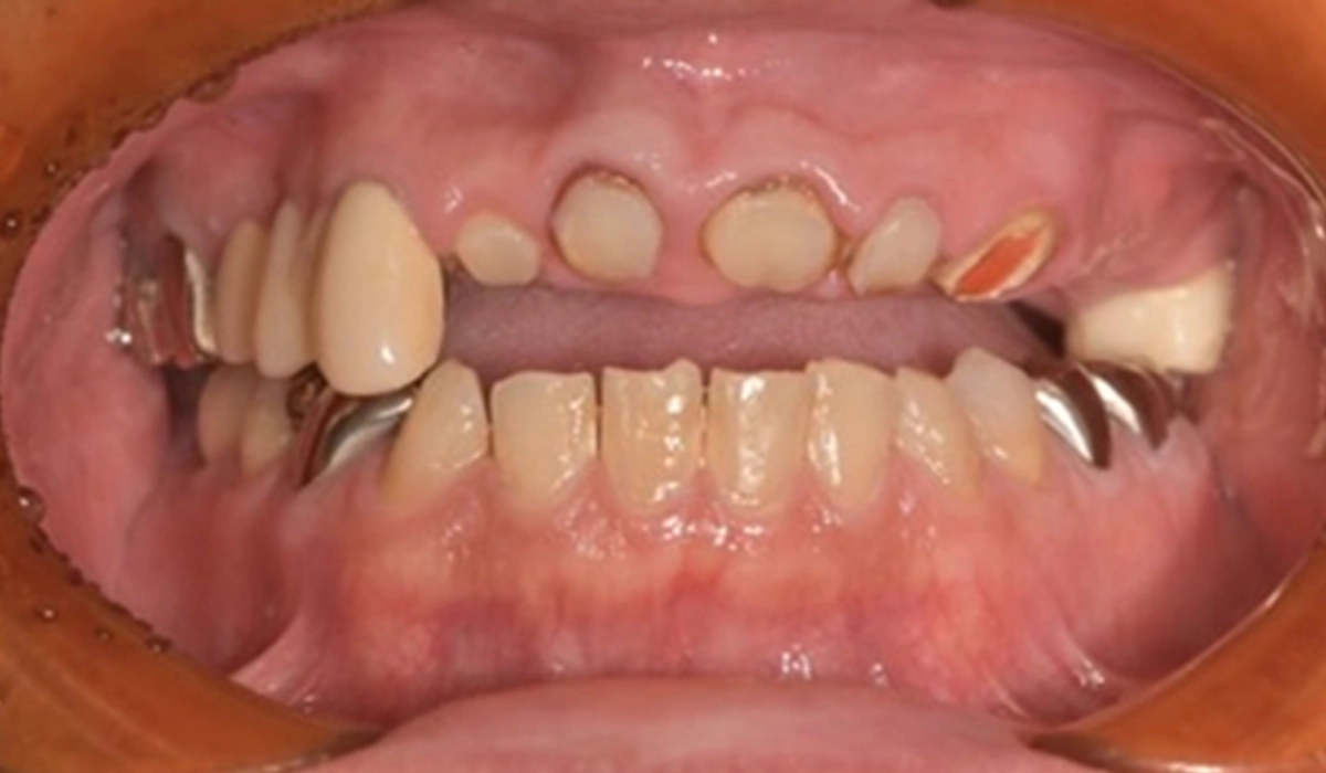
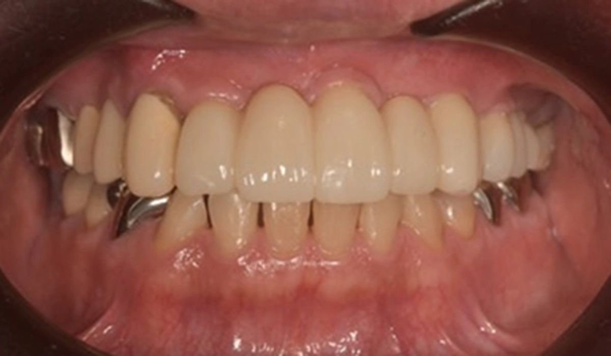
こちらは骨が1mmしかなくて3医院程治療はできないと断られた方のインプラントの処置です。大学病院でも敬遠されるような状態でしたが、当院では問題なく行えます。
インプラントは決して安くない治療です。それでも当院が自信を持ってインプラントを勧める理由を、率直にお伝えします。
当院の理事長の母や家族にも、インプラント治療を行っています。これは、単なるセールストークではありません。高額であっても、長期的に見てインプラントが最も歯の健康を守れる選択だと、医師として確信しているからこその判断です。
「家族に勧めない治療は、患者さんにも勧めない」これが当院の基本的なスタンスです。
歯を失う原因は、虫歯・歯周病・事故などさまざまですが、歯が抜けた状態を放置すると、隣の歯や向かいの歯が少しずつ傾いたり伸び出したりして、口全体の噛み合わせバランスが崩れていきます。噛み合わせが崩れると特定の歯に負担が集中し、次の歯へ、またその次の歯へと連鎖的にダメージが広がっていきます。
インプラントはただ「歯の見た目を補う」だけの治療ではありません。失った歯の位置に人工歯根を置くことで噛み合わせを本来のバランスに保ち、残っている健康な歯への負担を分散させる役割を果たします。つまり、インプラントを入れることが、残った自分の歯の健康寿命を延ばすことに直結するのです。
インプラント1本の費用だけを見ると高額に感じるかもしれません。しかし、歯を失ったまま放置したり、入れ歯やブリッジを繰り返し作り直したりするコストと、そのたびに健康な歯が削られていくリスクを長期的に考えると、早いタイミングでインプラントを選ぶことが、生涯の歯科治療費を抑えることにつながるケースは多くあります。
歯の健康は、食事・会話・笑顔。日常生活のあらゆる場面に関わります。どんな些細な疑問でも構いません。まずはスタッフに気軽にお声がけください。
| 主訴 | 前歯にインプラントをしたい。他院で3件断られたが、本当にできないのか? |
|---|---|
| 期間 | 5ヶ月 |
| 費用 | 1,116,500円 |
| インプラントメーカー | ストローマン |
| 治療後のリスク | 術後に痛みが出ることがある・術後に腫れることがある・かぶせものが割れたり、外れたりする可能性がある |
| 主訴 | インプラントの話を聞きたい |
|---|---|
| 期間 | 4ヶ月 |
| 費用 | 495,000円 |
| メーカー | ストローマン |
| 治療後のリスク | 術後に痛みが出ることがある・術後に腫れることがある・かぶせものが割れたり、外れたりする可能性がある |
| 主訴 | 歯がぐらぐらしている |
|---|---|
| 診断 | 全体的な重度歯周炎による動揺 |
| 治療方針 | ご主人もインプラント治療で通われているため、インプラントによる治療を希望された。しかし、残せる歯は残したい思いが強かったため、将来を見据えた最小限のインプラントによる治療方針とした。 |
| 期間 | 9ヶ月 |
| 費用 | 2,716,000円 |
| メーカー | ストローマン |
| 治療後のリスク | 術後に痛みが出ることがある・術後に腫れることがある・かぶせものが割れたり、外れたりする可能性がある |
| 主訴 | 歯がぐらぐらしている |
|---|---|
| 期間 | 1年 |
| 費用 | 2,792,900円(14本分) |
| メーカー | ストローマン |
| 治療後のリスク | 術後に痛みが出ることがある・術後に腫れることがある・かぶせものが割れたり、外れたりする可能性がある |
| 主訴 | 歯がボロボロ |
|---|---|
| 期間 | 6ヶ月 |
| 費用 | 2,920,500円 |
| メーカー | ストローマン |
| 治療後のリスク | 術後に痛みが出ることがある・術後に腫れることがある・かぶせものが割れたり、外れたりする可能性がある |
| 主訴 | 歯がグラグラで痛い |
|---|---|
| 期間 | 1年 |
| 費用 | 3,330,000円 |
| メーカー | ストローマン |
| 治療後のリスク | 術後に痛みが出ることがある・術後に腫れることがある・かぶせものが割れたり、外れたりする可能性がある |
テレビCMや駅の看板で「インプラント1本〇〇円〜」という広告を目にしたことがある方も多いと思います。費用は患者さんにとって重要な判断軸のひとつですが、あの金額には重要な注意点があります。
広告に出ている金額は「手術費のみ」であることがほとんどです。実際の治療では、手術費に加えてアバットメント(インプラントと被せ物をつなぐ部品)、被せ物(クラウン)、CT撮影費などが別途かかります。すべて合計すると、広告の2〜3倍の費用になることも珍しくありません。
費用を抑えるために、被せ物が保険適用の銀歯になっているケースがあります。見た目を重視してセラミックに変更すると、その分の費用が上乗せされます。当院では最初から審美性の高いセラミック素材のみを取り扱っており、後から「やはりセラミックに」という追加費用は発生しません。
インプラントは高額な治療であるため、万が一のトラブル時の保証が非常に重要です。格安クリニックの中には保証制度が存在しない、あるいは保証条件が極めて厳しく実質的に機能しないケースもあります。トラブルが起きた場合に全額自己負担になるリスクがあることを念頭に置いておく必要があります。
インプラントのメーカーは世界に100社以上あります。信頼性・実績・部品の供給継続性という観点から、世界シェア上位のメーカーを選ぶことが長期的な安心につながります。格安広告では、実績の浅い無名メーカーが使われているケースがあり、将来的に部品の調達が困難になるリスクもあります。
当院が他院の「やり直し治療」を数多く引き受けてきた経験からお伝えすると、格安インプラントで施術を受けた後、トラブルが発生して当院を受診される患者さんが少なくありません。やり直しには再手術のリスクと費用が両方かかるため、結果的に最初から信頼できるクリニックで治療を受けるよりも総費用が高くなってしまうことがほとんどです。
メーカー・保証・被せ物の条件をきちんと揃えると、どのクリニックでも最終的な費用は40〜50万円前後に収まることが多いのが実態です。最初の数字だけで判断せず、「何が含まれているか」を必ず確認するようにしてください。
当院では初回カウンセリング時に、すべての費用内訳を明示したお見積りをご提示します。「他院の見積もりと比較したい」という方も、お気軽にご相談ください。
| オステム(5年保証) | 総額;330,000円 |
|---|
| 手術料(2次オペ代を含む) | 187,000円 |
|---|---|
| アバットメント | 55,000円 |
| 被せ物 | 88,000円 |
| ストローマン(推奨) | 総額;440,000円 |
|---|
| 手術料(2次オペ代を含む) | 297,000円 |
|---|---|
| アバットメント | 55,000円 |
| 被せ物 | 88,000円 |
歯を抜くのと同時にインプラントを埋める処置を抜歯即時埋入と言います。前歯のように骨が薄い場合や、早く歯を入れたい場合などこの術式を選択します。
通常の埋入に比べて、骨の再生を促す材料を使用しますので、+料金がかかります。また術後の骨の位置を予測して処置を行うので、熟練した技が求められます。
インプラントを入れた日に(歯を抜くのと同時にインプラントを入れた日も含む)インプラントに仮歯まで入れる事を指します。
インプラントはいわばネジですので、ネジが骨にしっかりとくっついていればその日に仮歯を入れる事も可能です。
インプラントは一般的に直径4.5mm、長さ10mmのものを使用することが多いです。
勿論個人差によって骨が細かったり、少なかったり、解剖学的な構造により(神経が近かったり上顎洞に近かったり)標準的なインプラントを入れるのが困難な事があります。
インプラントを埋めるのと同時に骨に置き換わる材料を入れて、骨を作る処置。
スケジュールは、GBR→6ヶ月→インプラントオペの流れになります。あとは通常のインプラントの流れと同じです。
10mmのインプラントを入れたいけど8mmしか高さがない場合、骨を1mmほど残して、上顎洞側に骨を骨折させてその部分のみ骨の高さを増す処置。
スケジュールは、インプラントオペ+ソケットリフト→3ヶ月→歯が入ります
10ミリのインプラントを入れたいけど、4mmしか骨がないとう場合など、ソケットリフトでは骨を足せる量には限界があります。骨の横から直接上顎洞にアプローチして、骨に置き換わる材料を入れるやり方。
スケジュールは、インプラントオペ+サイナスリフト→6ヶ月→歯が入ります
歯が1本のない方、若しくは残っている全ての歯が抜歯宣告を受けている方に対して行うやり方です。
普通人の歯は上の歯14本下の歯14本ありますが、オールオン4はインプラント4本で噛み合わせが作れてしまうという優れものです。
一日で仮歯まで入るという画期的な治療法です。
費用は片顎250万円です。
当院では、デンタルローンに対応しております。
デンタルローンとは、患者様がローン会社とご契約し、治療費を毎月決まった金額で分割払いできるシステムになります。詳しくは、当院スタッフまでお尋ねくださいませ。
| 治療回数 | 5回 |
|---|---|
| 治療期間 | 3ヶ月 |
| 治療費用 | 342,100円 |
| 治療回数 | 5回 |
|---|---|
| 治療期間 | 4ヶ月 |
| 治療費用 | 441,100円 |
| 治療回数 | 5回 |
|---|---|
| 治療期間 | 4ヶ月 |
| 治療費用 | 507,100円 |
インプラントで歯科医師向けに沢山のセミナーをしているドクターが、確実なオペを提供します。当院では毎日のようにインプラントオペがありますので、まずはご相談からお願いします。
また、当院には専属の技工士が居ますので、密に連絡を取り、適切な噛み合わせを作る事に拘りがあります。
インプラントも普通の歯と同様に、歯周病になったり、被せ物が欠けたりします。
当院では必ず年に1度レントゲンを撮影するようにしていますので、何かトラブルが起きた際はいち早く気付き対応致します。
インプラントの歯周病をインプラント周囲炎と言いますが、この処置は一般的な歯医者だとできない事が多いですが、当院はリカバリーの手札は沢山持っております。
当院のインプラント治療の費用は、被せ物を込みで33万円からです。標準的なインプラント治療ではそれ以上はかかりません。骨が少ない方のみ追加で費用がかかる事があります。
インプラントメーカーは世界で100社以上ある中で当院では2つ取り扱いがあります。
ストローマンという世界シェア1位(車で言うとベンツみたいな位置付け)のものとオステムというアジアのシェア率1位の韓国の企業です。
| メーカー | ストローマン (スイス) |
オステム (韓国) |
|---|---|---|
| 開始時期 | 1954年から | 1997年から |
| 費用 | 44万円 | 33万円 |
| 保証期間 | 10年 | 5年 |
当院はガイドデント認証医院に登録されています。
保証とは、インプラント本体が歯周病になってしまった場合や、インプラント本体や被せ物が壊れてしまった場合に本来かかる費用がかかりません。
保証期間は、ストローマンのインプラントは10年保証・オステムのインプラントは5年保証となっています。
保証条件は3~4ヶ月に1度チェックをしている事1年に一度レントゲンで骨の状態を確認をしている事です。この条件が満たされていない場合保証が降りない場合があります。
インプラント成功の秘訣は事前のカウンセリングとアフターフォローにあります。
事前のカウンセリングで生活習慣や患者様が不安に思っていることなどを丁寧にカウンセリングしていきます。
また、治療後のアフターフォローがしっかりしていないとインプラントが抜け落ちてしまう要因となるインプラント周囲炎などに罹ってしまう場合がある為、徹底的なアフターフォローを行なっております。
インプラントとは、歯を失ってしまった際にインプラント体という人工歯根を埋め込み、それを土台として人口の歯を取り付ける治療方法です。インプラントは第2の永久歯とも呼ばれており、天然の歯とほとんど遜色ない機能性と見た目を再現することができます。
埋め込むインプラントも身体との生体適合性の高いチタン素材で骨とインプラント体を十分に結合します。また、近年では治療技術も進化しており、治療期間や骨が不足していて、過去には適応できなかったような症例も適応ができるケースがあります。
インプラントはブリッジや入れ歯と比較して費用が高額な反面、機能性・審美性・耐久性など様々な面で優れている治療方法となります。
見た目が自然な歯に近いことはもちろんですが、他の歯や顎への影響がなく歯全体の健康寿命が伸びることにも繋がります。
歯を失った際に、機能を再現する治療方法として入れ歯・ブリッジ・インプラントが候補となります。入れ歯やブリッジは素材を選ばなければ保険適用で治療することができる反面、不快感や他の歯や顎への悪影響、寿命の短さ、見た目など様々な制限が出てしまいます。
骨の幅がインプラントの幅より狭い場合に必要
骨が少なくインプラントが露出しています。
骨を採取し、足りていない所に充填しました。
6ヶ月間待機して骨ができていました。
| 骨造成費用 | 121,000円 |
|---|---|
| 待機期間 | 3ヶ月~6ヶ月 |
骨の厚みが足りない時に上顎洞(副鼻腔)に骨を足す処置
他院や大学病院で骨が薄いのでインプラントはできないと言われた症例。
上顎洞に横から穴をあけ骨補填剤を填入しました。
インプラントを埋入し、6ヶ月待機して骨ができた状態(白い部分)
| 費用 | 3mm以下の挙上:121,000円 4mm以上の挙上:176,000円 複数歯の挙上:275,000円 |
|---|---|
| 待機期間 | 3ヶ月~6ヶ月 |
インプラントは歯が抜けてしまった際にメリットの多い治療方法になりますが、定期的なメインテナンスを行わないと思わぬトラブルが起きてしまい抜け落ちてしまう可能性があります。
インプラント周囲炎とはインプラント周囲の歯茎やインプラントを支える骨が歯周病に感染した状態をいいます。インプラントは天然の歯に比べて炎症への抵抗力が弱く、一度感染をしてしまうと進行が早いです。
インプラント周囲炎が進行してしまうとインプラントがぐらぐら動くようになっていき、場合によってはインプラントが抜け落ちたり、抜去をしなければならなくなります。
インプラント周囲炎を予防するためにまずは毎日の丁寧なブラッシングが大切です。歯の表面を磨くことはもちろんですが、歯と歯茎の間をより意識して磨いていくことが大切です。
日常のブラッシングだけでは落としきれない汚れや歯茎の隙間に溜まってしまう汚れなどは定期的に歯科医院にメインテナンスに通院していただき歯周病菌に感染しない状態を維持していくのが大切です。
インプラントにおいて治療の精度は非常に重要な要素となります。そのため、当院ではCTやマイクロスコープ、光学スキャナーなど正確に治療を行うための様々な機器を導入しております。
歯科用CTでは歯が失われた部分の骨の厚みや深さ神経までの距離など0.1ミリ単位で正確に計測することができ、歯牙や上顎洞の形態の三次元的イメージを把握できます。
当院は光学スキャナーがありますので、規格性のある確実な型取りができ、データとして保管しています。
肉眼では見えないものを4〜20倍まで拡大することが可能となります。これにより、さらに正確に治療を行うことができます。
埼玉インプラントクリニックで初診のご予約をされた方は、まずは、本院にお越しくださいませ。
埼玉インプラントクリニックからすぐの位置に本院がございます。本院のアクセスについては下記をご参照くださいませ。
もちろん可能です。無理な勧誘は一切ありません。
骨があるかないか、抜歯済みかどうかで変わります。インプラントと骨が化学的に結合するまで3ヶ月ですので最速は3ヶ月です。
インプラント埋入後3ヶ月で歯を作って終了(骨を足す場合は6ヶ月)
ストローマンのインプラントは5年生存率は98.8%、10年生存率は90%以上です。メンテナンスを怠るとインプラント周囲炎(インプラントの歯周病)の予防ができず、早期発見が遅れる可能性があります。
画像のように一部の骨が溶け、一部が残っている状態。
治療法
インプラント撤去もしくは、延命処置として再生療法、歯肉切除など。
骨が半分以上溶けてインプラントがグラグラして定期的に腫れる状態。
治療法
インプラント撤去。その後再度埋入かそのままか相談。
できますが、以下のポイントがあります。
初診時(歯が自然脱落して来院)
インプラント埋入と仮歯セット(未来の事を考えてポジション決定)
3ヶ月後治療終了
患者さん1人1人に向き合い、
全身全霊の治療を
| 診療時間 | 月 | 火 | 水 | 木 | 金 | 土 | 日 |
|---|---|---|---|---|---|---|---|
| 09:00-12:30 | ○ | ○ | ○ | ○ | ○ | ○ | ○ |
| 14:00-19:00 | ○ | ○ | ○ | ○ | ○ | ※ | ※ |
※休診日:祝日 ※土日は17:30まで
〒353-0004 埼玉県志木市本町5-22-24
電車でお越しの方へ東武鉄道東上本線志木駅から徒歩1分